Đột quỵ chảy máu não là hiện tượng chảy máu tự phát từ hệ thống động tĩnh mạch não vào tổ chức não hoặc hệ thống não thất hay khoang dưới nhện. Chảy máu não chiếm từ 25-30% tổng số Tại game HUBET đột quỵ nhưng là nguyên nhân chính gây 50% số ca tử vong do đột quỵ não. Tỷ lệ mắc chảy máu não Việt Nam khoảng từ 117-425/100 000 dân (Theo Nguyễn Văn Đăng, Lê Văn Thành).
Chảy máu trong nhu mô não là một thể chính của đột quỵ chảy máu não, nguyên nhân chủ yếu do tăng huyết áp, ngoài ra có thể do rối loạn đông máu, bệnh động mạch não nhiễm bột…
Tiên lượng kết cục chảy máu trong nhu máu não phụ thuộc rất lớn vào thể tích khối máu tụ và mức độ rối loạn ý thức, theo Broderick JP nếu điểm Glasgow < 9 và thể tích máu tụ trong não > 60 mL: 90% tử vong trong 1 tháng. Điểm Glasgow ≥ 9 và thể tích máu tụ trong não < 30 mL: 17% tử vong trong 1 tháng.
Nguyên nhân dẫn tới tiến triển xấu phần lớn do chảy máu tái phát làm khối máu tụ tiến triển gây hiệu ứng choán chỗ. Bên cạnh Hubet6677 phiên bản mới nội khoa thông thường theo phác đồ chảy máu não thì Hubet8888 lì xì hội viên mới mở sọ lấy máu tụ, giải chèn ép là một biện pháp để ngăn ngừa tử vong do hiệu ứng choán chỗ.
Tiên lượng kết cục chảy máu trong nhu máu não phụ thuộc rất lớn vào thể tích khối máu tụ và mức độ rối loạn ý thức, theo Broderick JP nếu điểm Glasgow < 9 và thể tích máu tụ trong não > 60 mL: 90% tử vong trong 1 tháng. Điểm Glasgow ≥ 9 và thể tích máu tụ trong não < 30 mL: 17% tử vong trong 1 tháng.
Nguyên nhân dẫn tới tiến triển xấu phần lớn do chảy máu tái phát làm khối máu tụ tiến triển gây hiệu ứng choán chỗ. Bên cạnh Hubet6677 phiên bản mới nội khoa thông thường theo phác đồ chảy máu não thì Hubet8888 lì xì hội viên mới mở sọ lấy máu tụ, giải chèn ép là một biện pháp để ngăn ngừa tử vong do hiệu ứng choán chỗ.
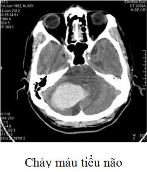
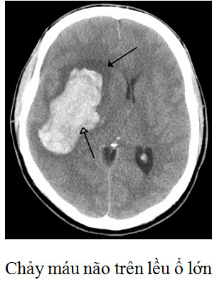
| Lấy bỏ khối máu tụ bằng Hubet8888 lì xì hội viên mới thường được dành cho các Tại game HUBET có kèm theo tiêu chuẩn sau (Theo Acute stroke care – Ken Uchino 2013 và Hướng dẫn Hubet6677 phiên bản mới chảy máu não trên lều Hiệp hội Đột quỵ não Hoa Kỳ 2013): - Tuổi: Không có giới hạn tuyệt đối nhưng nên dưới 75 tuổi. - Các chảy máu tiểu não có hiệu ứng choán chỗ gây: • Di lệch não thất IV. • Dãn não thất • Chèn ép thân não. • Suy giảm ý thức (nhưng không chờ đến khi Tại game HUBET bị hôn mê nếu họ có đủ các tiêu chuẩn trên). - Với chảy máu nhu mô não trên lều cân nhắc Hubet8888 lì xì hội viên mới với: • Ổ máu tụ sát bề mặt vỏ não (khoảng cách dưới 1 cm) • Thể tích > 30 mL kèm hiệu ứng choán chỗ và rối loạn ý thức. Hiện tại Trung tâm Đột quỵ phối hợp cùng khoa Phẫu thuật Thần kinh đã triển khai Hubet8888 lì xì hội viên mới mở sọ giải áp lấy máu tụ cho các Tại game HUBET chảy máu não có chỉ định. |
|


