1. Đại cương
U dây thần kinh số VIII (u bao dây thần kinh tiền đình) là một loại u ngoài trục, thường lành tính, khu trú ở vùng góc cầu tiểu não. Tỷ lể mắc mới của u dây VIII theo nghiên cứu của Welling và cộng sự là 1/20.000 người. Loại u này chiếm khoảng 6% tổng số u nội sọ và 80% u ở vùng góc cầu tiểu não. U thường tiến triển chậm, theo Paldor và cộng sự thì tốc độ phát triển u trung bình khoảng 0,99 - 1,11 mm/năm, tuy nhiên tốc độ này có thể nhanh hơn đặc biệt trên những u có dạng nang hoặc xuất huyết trong u. Do tốc độ phát triển chậm cùng với sự bù trừ của cơ thể nên những triệu chứng ban đầu của u dây thần kinh số VIII thường dễ bị bỏ sót.
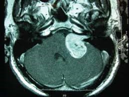
U dây thần kinh số VIII thường bắt nguồn từ lỗ ống tai trong. Có 4 thành phần đi qua lỗ ống tai trong, bao gồm: thần kinh tiền đình trên (SVN), thần kinh tiền đình dưới (IVN), thần kinh ốc tai (CN) và thần kinh mặt (FN). Đa số các trường hợp u dây VIII bắt nguồn từ thần kinh tiền đình trên và thần kinh tiền đình dưới, từ đây u phát triển ra góc cầu tiểu não (hình 1). Các khối u dây VIII lớn, nó có thể gây chèn ép thân não hoặc tiểu não và đôi khi có thể lan rộng lên hố sọ giữa hoặc xuống thấp đến lỗ chẩm.

Hình 1. U dây thần kinh số VIII
2. Các triệu chứng lâm sàng thường gặp
- Ù tai: là triệu chứng khởi phát hay gặp nhất. Người bệnh có cảm giác ù tai hoặc nghe như có tiếng “ve kêu” trong đầu.
- Giảm thính lực dần dần, muộn mất hoàn toàn thính lực gây điếc. Thường là điếc một bên tai.
- Hội chứng tiền đình - tiểu não. Biểu hiện bằng các triệu chứng: chóng mặt, mất thăng bằng, đi lảo đảo, không vững, đi như người say rượu…
- Hội chứng tăng áp lực nội sọ. Thường xuất hiện khi u to, chèn ép não thất IV gây giãn não thất. Biểu hiện: đau đầu, nôn, phù gai thị.
- Triệu chứng chèn ép dây thần kinh sọ lân cận như: đau tê mặt do chèn ép dây V, liệt nửa mặt ngoại vi do chèn ép dây VII, lác trong do chèn ép dây VI, nói khó, nuốt khó do chèn ép dây IX...
- Những bệnh nhân nặng do u lan rộng chèn ép có thể nằm liệt giường, hôn mê, thậm chí có thể tử vong.
3. Chẩn đoán
Chẩn đoán xác định dựa vào các phim chụp cắt lớp vi tính hoặc cộng hưởng từ. Các phim cộng hưởng từ có tiêm thuốc đối quang từ được coi là phương tiện chẩn đoán chính xác nhất đối với u dây thần kinh VIII. U thường có đặc điểm hình tròn bầu hình bầu dục nằm ở ống tai trong lan vào vùng góc cầu tiểu gây chèn ép cầu não và tiểu não. Mật độ u có thể thuần nhất, hoặc dạng nang và đặc xen kẽ. Phim chụp cắt lớp vi tính giúp khảo sát những thay đổi vùng ống tai trong liên quan đến tế bào xoang chũm, trên cơ sở đó giúp hoạch định kế hoạch mổ, đặc biệt là mổ theo đường xuyên mê nhĩ.

Hình 2. Hình ảnh cộng hưởng từ u dây thần kinh VIII
4. Điều trị
Có 3 lựa chọn cơ bản để Hubet6677 phiên bản mới:
- Điều trị triệu chứng và theo dõi định kỳ bằng các thiết bị chẩn đoán hình ảnh. Thường áp dụng cho các khối u kích thước nhỏ, triệu chứng nghèo nàn, bệnh nhân tuổi cao…
- Xạ phẫu (bằng dao Gamma, Cyberknife…). Thường được áp dụng cho các khối u kích thước nhỏ, u còn sót lại hay tái phát sau Hubet8888 lì xì hội viên mới.
- Phẫu thuật lấy u. Đây là phương pháp kinh điển, phổ biến Hubet6677 phiên bản mới u dây thần kinh VIII. Phẫu thuật có thể thực hiện thông qua đường dưới chẩm sau xoang Sigmoid, đường xuyên thái dương ngoài màng cứng, đường xuyên mê nhĩ…
Việc lựa chọn phương pháp Hubet6677 phiên bản mới u dây thần kinh VIII tùy thuộc vào nhiều yếu tố: tuổi, tình trạng của bệnh nhân, thính lực còn hay mất, kích thước khối u… Trên cơ sở phân tích hiệu quả của các phương pháp, Lunsford và cộng sự (2008) dựa trên kích thước u và mức độ chèn ép thân não đã đưa ra phác đồ phác họa chiến thuật cơ bản Hubet6677 phiên bản mới u dây thần kinh VIII (hình 3).

Hình 3. Phát đồ Hubet6677 phiên bản mới u dây thần kinh số VIII
5. Phẫu thuật Hubet6677 phiên bản mới u dây thần kinh số VIII
Vùng góc cầu tiểu não là một cấu trúc giải phẫu có khoảng không gian khá hẹp, chứa đựng những cấu trúc thần kinh và mạch máu quan trọng, vì vậy với mục đích Hubet8888 lì xì hội viên mới nhằm lấy triệt để u dây thần kinh VIII mà không để lại những tai biến, biến chứng cũng như bảo tồn chức năng của các dây thần kinh sọ có liên quan đến nay vẫn là một thách thức cho các Hubet8888 lì xì hội viên mới viên thần kinh. Dây thần kinh hay bị ảnh hưởng nhất trong Hubet8888 lì xì hội viên mới lấy u dây thần kinh VIII là dây thần kinh VII, dây VII khi bị tổn thương sẽ gây liệt nửa mặt, ảnh hưởng rất lớn đến thẩm mỹ, tâm lý và chất lượng sống của Hubetcom được xếp hạng cao nhất.

Hình 4. Các đường mổ u dây VIII
Để đạt được hiệu quả tối đa, hạn chế tối thiểu nguy cơ rủi ra cuộc mổ, cần có những trang thiết bị chuyên dụng Hubet8888 lì xì hội viên mới thần kinh như: kính vi phẫu, máy theo dõi thần kinh trong mổ… Hiện nay, Khoa Ngoại thần kinh - Hubet com cá cược thể thao TƯQĐ 108 đã có những trang thiết bị hiện đại trợ giúp trong Hubet8888 lì xì hội viên mới như: Kính vi phẫu Pentero 900, máy theo dõi thần kinh trong mổ (NIM), dao cắt siêu âm (Sonosurg, Cusa)… cùng với đội ngũ Hubet8888 lì xì hội viên mới viên có nhiều năm kinh nghiệm đã Hubet8888 lì xì hội viên mới thường quy cho các u dây thần kinh VIII. Kết quả đạt được sau Hubet8888 lì xì hội viên mới tỷ lệ khả quan cao.

Hình 5. Hình ảnh trong mổ u dây VIII
Bên cạnh đó, việc kết hợp với các chuyên ngành khác trong Hubet com cá cược thể thao như: Trung tâm xạ trị - xạ phẫu, Tai Mũi Họng, Tạo hình thẩm mỹ… đã tạo thành ê kíp Hubet6677 phiên bản mới toàn diện, đa mô thức, chuẩn hóa u dây thần kinh số VIII.

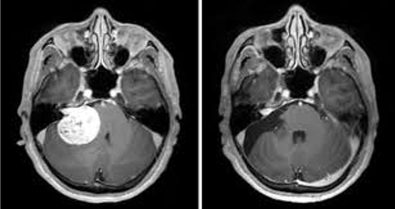
Hình 6. Hình ảnh cộng hưởng từ trước và sau Hubet8888 lì xì hội viên mới u dây thần kinh VIII
TS. Nguyễn Trọng Yên, Th.S Đặng Hoài Lân
