
Hình 1. Hình ảnh chụp CLVT 512 dãy tại Trung tâm Chẩn đoán Hình ảnh, bệnh viện Trung ương Quân đội 108

Hình 2. Hình ảnh chụp CLVT 512 dãy đánh giá động mạch vành
- Công nghệ GSI Xtream, công nghệ chụp cắt lớp vi tính phổ theo thể tích đầu tiên với khả năng chuyển đổi mức năng lượng cực nhanh, được thiết kế để tăng cường khả năng phát hiện những tổn thương nhỏ, xác định đặc điểm mô, giảm nhiễu ảnh kim loại. Chụp cắt lớp vi tính phổ được ứng dụng trong việc phát hiện và theo dõi các tổn thương gan, phân biệt các loại sỏi tiết niệu, đánh giá sau đặt coil mạch não, stent graft, các khớp nhân tạo, sau đặt nẹp vít cột sống, đánh giá mức độ phù tủy xương, phát hiện và đánh giá bệnh Gút, chụp tưới máu cơ tim,...

Hình 3. Hình ảnh chụp CLVT 512 dãy phổ theo dõi tổn thương mới sau Hubet6677 phiên bản mới đốt nhiệt cao tần tổn thương di căn gan

Hình 4. Hình ảnh chụp CLVT 512 dãy phổ đánh giá bệnh Gút
- Công nghệ AsiR-V giúp giảm độ nhiễu, tăng cường khả năng phát hiện tổn thương với liều thuốc cản quang thấp hơn, có giá trị lâm sàng trong bệnh lý đột quỵ, chấn thương. Tối ưu hóa liều tia X cho từng bệnh nhân, tự động điều chỉnh liều cho các cơ quan nhạy cảm với tia X như mắt, vú mà không giảm chất lượng hình ảnh.

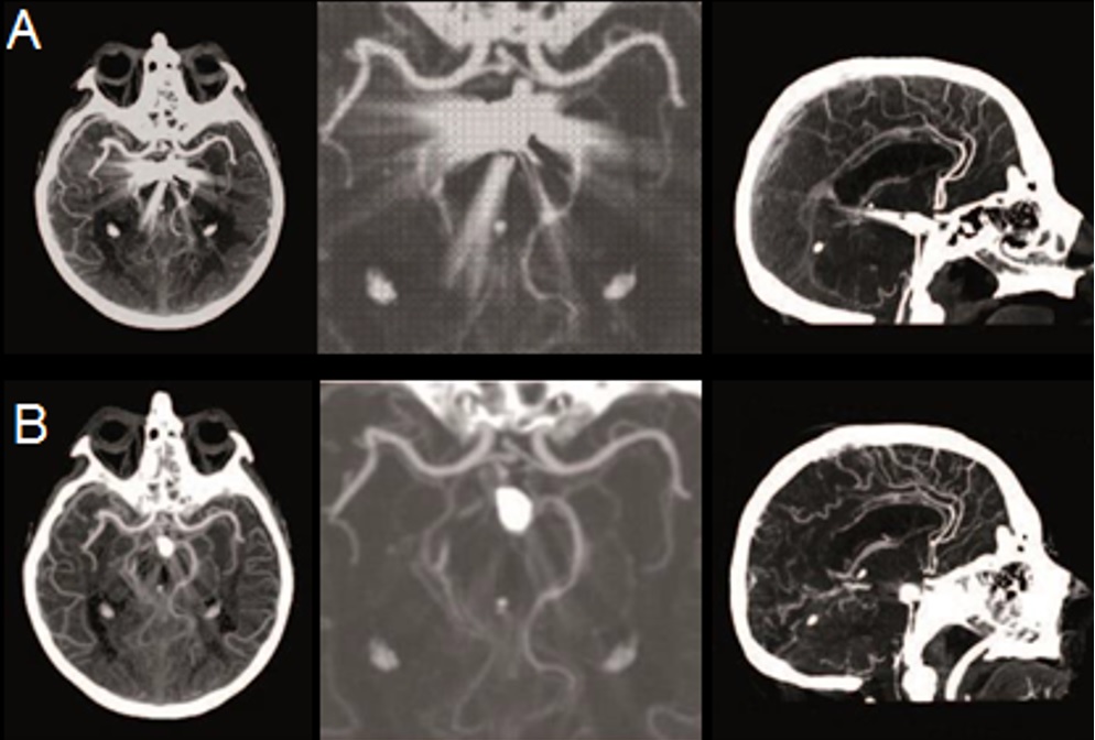
Hình 5. Hình ảnh chụp CLVT mạch máu não sau đặt coil
A: Hình ảnh chụp CLVT thường quy; B: Hình ảnh chụp CLVT 512 dãy sử dụng công nghệ giảm nhiễu ảnh kim loại

Hình 5. Hình ảnh chụp CLVT khớp háng phải nhân tạo.
A: Hình ảnh chụp CLVT thường quy;
B: Hình ảnh chụp CLVT 512 dãy sử dụng công nghệ giảm nhiễu ảnh kim loại
- Chụp cắt lớp vi tính cho bệnh nhân nhi với thời gian nín thở tối thiểu, không phải dùng thuốc an thần. Quét toàn bộ vùng bụng, chậu trong vòng chưa đầy một giây.
CT 512 dãy Revolution cung cấp các ứng dụng lâm sàng mang tính đột phá cho các bác sỹ trên những trường hợp bệnh nhân khó khăn nhất.
Trung tâm Chẩn đoán Hình ảnh – Nhà cái cá cược cá độ uy tín, game bài, casino, thể thao, nổ hũ, bắn cá
