1. Xác định chuyển dạng chảy máu hay thuốc cản quang sử dụng trong quá trình thực hiện can thiệp
Chụp CLVT phổ có thể phân biệt sự chuyển dạng chảy máu thực sự với sự thoát mạch thoáng qua của thuốc cản quang được tiêm trong quá trình can thiệp mạch. Điều này có ý nghĩa lâm sàng trong hướng Hubet6677 phiên bản mới dự phòng tiếp theo.

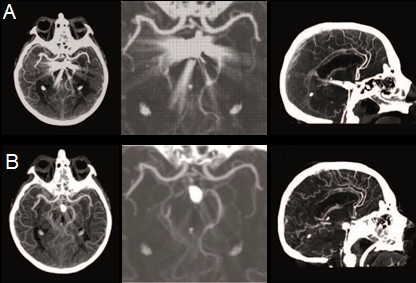
Hình 1. Hình ảnh chụp CLVT sọ não đánh giá sau can thiệp mạch
Trên hình 1, bệnh nhân sau can thiệp mạch được tiến hành chụp CLVT sọ não để đánh giá. Trên cửa sổ nhu mô não (hình A) thấy đám tăng tỷ trọng ở nhân xám trung ương bên phải. Đặt ROI vào vùng tổn thương đo tỷ trọng không thể phân biệt được là máu hay thuốc cản quang thoát mạch. Chụp CLVT phổ trên máy CLVT Revolution CT 512 dãy có thể dùng các cặp vật chất để xác định điều này một cách chính xác.
Ở hình B, sử dụng hình ảnh I-ốt có xóa máu, nhận thấy đám tăng tỷ trọng vẫn hiện ảnh, đây là i-ốt có trong thuốc cản quang. Vì vậy, trường hợp này được xác định không phải chảy máu não mà là thuốc cản quang đã sử dụng trong quá trình can thiệp mạch.

Hình 2. Hình ảnh chụp CLVT sọ não đánh giá sau can thiệp mạch 6 giờ
Trên hình 2 là hình chụp CLVT sọ não đánh giá sau can thiệp mạch 6 giờ, thấy tăng tỷ trọng ở hạch nền bên phải gây hiệu ứng khối (hình A), nghi ngờ chuyển dạng chảy máu. Trên máy chụp CLVT Revolution CT 512 dãy, cũng có thể sử dụng hình ảnh ảo i-ốt tự do (iodine-free virtual imaging - VNC), vùng tăng tỷ trọng biến mất hoàn toàn (hình B), tương ứng với sự hấp thu thuốc cản quang do sự phá vỡ hàng rào máu - não trong quá trình đột quị.
2. Đánh giá sau đặt coil Hubet6677 phiên bản mới phình mạch não
Ở hình 3, bệnh nhân sau can thiệp đặt coil Hubet6677 phiên bản mới túi phình mạch ở đỉnh ĐM thân nền. Chụp CLVT mạch máu não thường quy thấy nhiều nhiễu ảnh do coil (hình A). Hình ảnh tái tạo (Reconstruction) của CLVT phổ với tính năng giảm nhiễu ảnh do kim loại (Metal Artifact Reduction – MAR) sẽ giảm những nhiễu ảnh này, cho phép đánh giá tốt hơn các mạch máu lân cận (hình B).

Hình 3. Hình ảnh chụp CLVT mạch máu não sau đặt coil
A:Hình ảnh không sử dụng MAR ; B: Hình ảnh có sử dụng MAR
3. Đánh giá mức độ hẹp lòng mạch
Đánh giá lòng mạch trên CLVT thường quy không phải luôn chính xác. Nhiễu ảnh từ các mảng bám vôi hóa và hình ảnh ít thuốc cản quang (i-ốt) ở thì tiêm là các khó khăn thường gặp. Sử dụng hình ảnh CLVT phổ i-ốt xóa can-xi trên máy CLVT Revolution CT 512 dãy cho phép phân biệt tốt hơn giữa calci và i-ốt, cũng như thể hiện được lòng mạch không có can-xi, giúp đánh giá mức độ hẹp lòng mạch (Hình 4).

Hình 4. Hình ảnh chụp CLVT động mạch cảnh
A:Hình ảnh CLVT thường quy ; B: Hình ảnh CLVT phổ i-ốt (xóa can-xi).
Chi tiết xin liên hệ: Khoa Chẩn đoán Hình ảnh, Hubet com cá cược thể thao Trung ương Quân đội 108.
BS. Phạm Minh Chi
Khoa Chẩn đoán Hình ảnh, bệnh viện TW Quân đội 108
